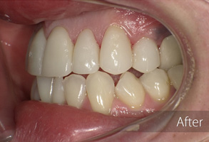
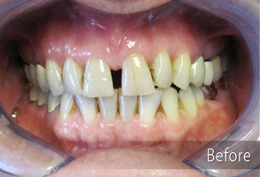
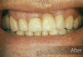
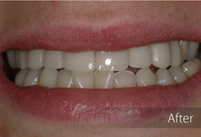
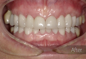
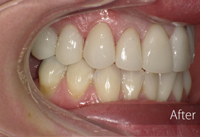
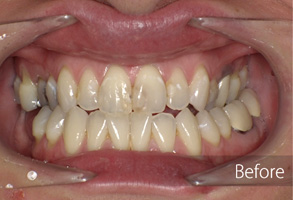
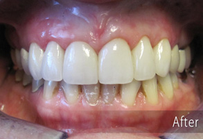
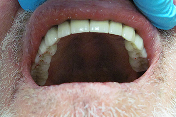
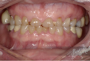
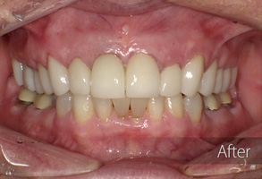
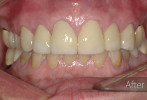
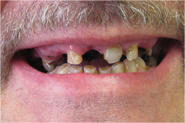
Multi-Implant Prosthesis for Full Upper Tooth Replacement
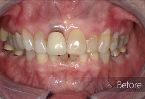
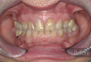
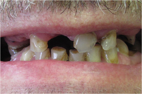
Before






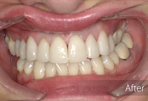
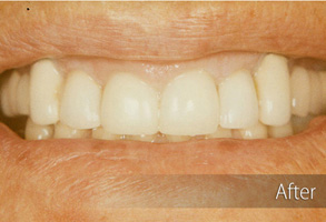
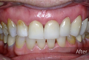
After




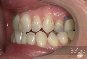
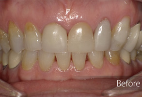
Before






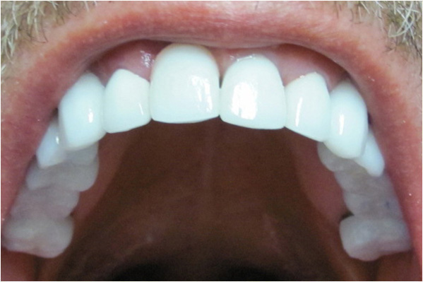
After



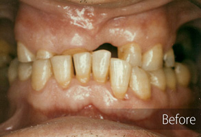
Before








After
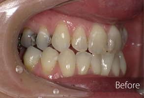
Before
After
Our goal is to provide advanced cosmetic and implant dentistry with care, restoring smiles and confidence in a compassionate, welcoming environment.